This topic takes on average 55 minutes to read.
There are a number of interactive features in this resource:
In 1901, the average life expectancy in the United Kingdom was 47 years. By the year 2000 it had risen to 77 years and for someone born in the UK in 2015 it is 81 years. New medicines, childhood immunisations, improved air quality and better public hygiene has contributed to this 72% increase in the life expectancy.
The twentieth century saw some major advances in healthcare. These have included the development of:
Vaccination
First described by Edward Jenner in the 18th century, vaccination programmes to prevent deaths and serious illness from diseases such as yellow fever, poliomyelitis, measles, mumps and rubella only became common in the 20th century. In 1980, the World Health Organisation announced that the deadly smallpox virus had been completely eradicated.
Medical imaging
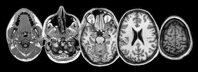
Physicians can now call on a range of techniques to see inside the body of their patients. X-rays, discovered by Roentgen, were the first but now sophisticated computer technology allows surgeons to plan operations and radiologist to target tumours with pinpoint accuracy. Ultrasound, magnetic resonance imagery (MRI), Positron Emission Tomography (PET) and computer tomography (CT) scans are all part of the doctor's diagnostic armoury.

Ultrasound image of a 19-week old foetus

Five MRI images of a human head
Technology
Advances in bioengineering, computing power, materials technology and many other areas of science have led to the development of many medical devices. During heart surgery, an artificial heart and lung machine keep the patient alive. Kidney damage can quickly kill but renal dialysis can keep patients alive even though their kidneys have failed. Hearing aids and cochlea implants bring sound to the hard of hearing. Biotechnology is allowing pure drugs, such as human insulin, to be produced in large quantities.
DNA
The human genome project started the process of unlocking the secrets held within our DNA. It is leading to a much better understanding of the genetic basis for many diseases and has enabled the development of new cures in the 21st Century.
The second half of the 20th century saw tremendous advances in medicine. The first heart transplant was performed by Dr Christiaan Barnard in 1967 and on July 25th 1978, Louise Brown was the first person to be born after in vitro fertilisation. Research and development of modern medicines has made a massive contribution to the improvement in health and life expectancy.
Two worlds
Sadly, it was not all good news for medicine in the 20th Century. Many diseases can be controlled and treated but this takes money. In places such as Africa, South America and Asia, the levels of healthcare are below those found in the more well off Western nations. Diseases like HIV/AIDS, cholera, tuberculosis, pneumonia and malaria remain major killers in these regions. The challenge of medicine in the 21st Century is to make high quality healthcare available to all.