Skip to content
    • Biology Biology
    • 16+
    • 14-16
    • 55

Cell biology

  of  10

Cells and cell organelles

Cells come in an enormous variety of shapes and forms, but there are two main types of cell – eukaryotic cells and prokaryotic cells.

 

Cells and cell organelles

Eukaryotic organisms include animals, fungi and plants. Almost all eukaryotic cells have some characteristics in common. They are three-dimensional, membrane-bound sacs containing cytoplasm, a nucleus and a range of membrane-bound organelles. The membrane which surrounds eukaryotic cells and the organelles is a very important structure. More detail is given on the next page.

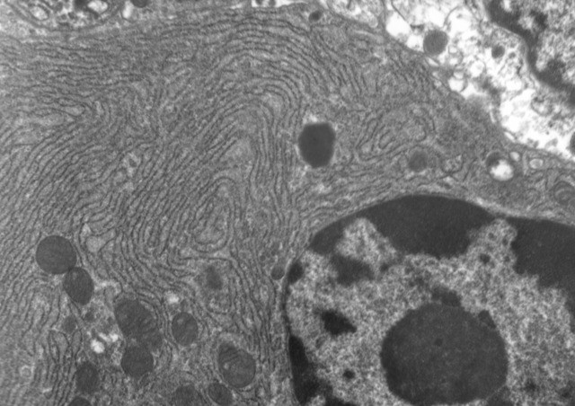
Scanning electron micrographs can give you insight into the 3D shape of cells, while transmission electron micrographs provide details about the structure of the organelles.

 

Scanning Electron Micrograph Cells
Transmission Electron Micrograph Cells

Scanning (left) and transmission (right) electron micrographs of cells

 

Animal cells

The protoplasm of animal cells contain organelles that are common to most cells. Click on the diagram below to find out more about some of them.

Key features of an animal cell:

Movement of proteins from RER through the Golgi apparatus to the outside of a eukaryotic animal cell: